会员资源切换至【手机版】

切换本帖至【手机版】


开启左侧

[知识] 你的第二根脚趾最长?

[复制链接]
发表于 2018-5-6 13:38:52 | 显示全部楼层 |阅读模式
利维坦按:嗯,各位可以脱了鞋袜,看看自己属于哪种脚。



第一种:埃及脚(Egyptian Foot)。埃及脚脚型最普遍,大拇趾比其他四根脚趾长,大拇指到小指呈斜线状。 第二种:罗马脚(Roman Foot,然而,该脚型找不到任何相关研究)。这种脚型前两到三根脚趾长度都差不多,没有特别突出的脚趾。 第三种:希腊脚(Greek Foot)。第二根脚趾最长。 第四种:日耳曼脚(Germanic Foot)。除了大脚趾,其余的脚趾(至少三个)长度差不多。很多芭蕾舞演员都是这种脚型。 第五种:凯尔特脚(Celtic Foot,然而,至今该脚型并无相关科学依据)。有别于希腊脚,虽然二脚趾最长,但三四五脚趾并非依序渐短。 文/MELISSA BANIGAN 译/boomchacha 校对/Anthony 原文/www.atlasobscura.com/articles/mortons-toe-greek-foot 本文基于创作共同协议(BY-NC),由boomchacha在利维坦发布





《维纳斯的诞生》:波提切利笔下维纳斯的脚趾。图源:PUBLIC DOMAIN 不论是《断臂的维纳斯》、《美第奇的维纳斯》(Venus de Medici)还是《维纳斯的诞生》,艺术家刻画的维纳斯总是长着丰盈的臀部,而胸部则又圆又小。这三个作品集中体现了古典和新古典主义、希腊化时代、文艺复兴时期艺术对女性的审美观。两千多年来,维纳斯一直是西方艺术家笔下的常客,也是艺术史学家的重点研究对象。


她身体的每一寸都被研究透了,但是似乎没什么人注意到奇怪的地方——她的第二根脚趾头特别长,很明显超出了第一只脚趾的长度。


哎,如果你觉得盯着长度不一的脚趾头有点儿莫名其妙的话,不如换个角度:为啥古希腊的雕塑家都喜欢这么干?从《拳击手像》(Boxer at Rest),到罗马人复刻的《凡尔赛的戴安娜》(Diana of Versailles),再到《喝醉的萨提尔》(Drunken Satyr ,原作名称为Barberini Faun),这些经典的雕塑人物无一不有着修长的二脚趾。





《凡尔赛的戴安娜》(Diana of Versailles)。这件原作大约创作于公元前325年。上图为公元1-2世纪发现于意大利罗马的复制品,高度2米,现藏于卢浮宫。图源:PUBLIC DOMAIN



古希腊雕塑《拉奥孔与儿子们》(Laocoön and his sons)中的人物的第二根脚趾头也特别长。图源:PUBLIC DOMAIN



古希腊《拳击手像》(Boxer at Rest)雕塑脚部细节。图源:Wonderlane/Flickr 数千年前,古埃及艺术家雕塑作品的脚趾头从大脚指到小脚趾,长度依次递减。即使是这么不起眼的部位,都像金字塔一样精准,同时也符合现代人的审美观。 艺术风格会随着时代变迁而改变,这也说明了


二脚趾长过大脚趾并非偶然,其根源可以追朔到古希腊对黄金分割比的偏爱。


黄金分割比不仅出现在许多动植物的外观,古埃及的工程师也有运用。欧几里得最早发现并记载黄金分割比,并在古典时期大行其道,被许多领域所消化吸收。这个极具实用性和美观性的比例或许给了维特鲁威(Vitruvius)某种启发,促使他在《建筑十书》(De architectura)中描绘了人体“完美”的比例:
正如神庙的各个部分彼此之间应该相互契合,人体也是如此。如果人平躺在地上,伸展开四肢,那么,以肚脐为圆心画一个圆,弧应该刚好与手、脚趾尖相交;同时,人从头到脚的 距离应该与双臂展开的距离相等,换言之,如果横竖各画两条线的话,组成的形状应该是个正方形。
维特鲁威没有具体指出是哪一根手/脚趾应该与圆/方形相交。1500多年后,达芬奇画出了《维特鲁威人》,


其中与圆弧相交的是人物修长的二脚趾。


有的美术史学家认为,达芬奇是受黄金分割比的启发;有的却指出,虽然其画作与黄金分割比十分接近,但却不完全一致。



达芬奇的《维特鲁威人》局部。图源:PUBLIC DOMAIN



法国卢浮宫《阿尔勒的维纳斯》(Venus of Arles)脚部细节。图源:Tangopaso/WikiCommons



美国旧金山笛洋美术馆(De Young Museum)雕塑脚部细节。图源:Wonderlane/Flickr 在20世纪初,一个名叫杜德利·莫顿(Dudley Morton)的骨科医生以自己的名字命名了这种生理构造。他认为,这和色盲、多乳症、长出尾巴一样,属于返祖现象,有助于人类的祖先在树枝上“荡秋千”。


虽然在树上“荡秋千”听起来很浪漫,但莫顿脚可以引起一系列骨科疾病,例如槌状趾(hammertoes)和拇囊炎(bunions)等。


肯尼迪总统的私人医生珍妮特·特拉维尔(Janet Travell)认为,莫顿脚会造成身体的支点从大拇指后移到跖骨,造成肌筋膜疼痛(Myofascial pain)。



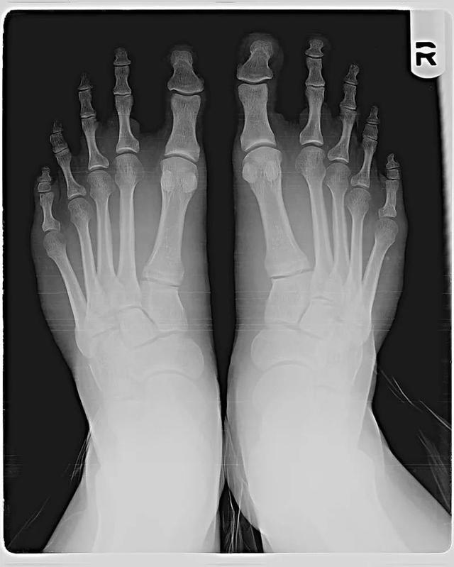
X光下的莫顿脚。图源:CJOTTAWA/CC BY-SA 3.0 大约有15%-20%的人长着莫顿脚。


造成莫顿脚的原因不是二脚趾长,而是大拇指的跖骨更短。


现如今,这种症状被艺术史学家和医生称为“希腊脚”。但这不是重点,大伙儿不妨都出去走走,去博物馆欣赏这些雕塑。在西方艺术史上许多时期中,“希腊脚”都被认为是美的表现,但我们还是殷切的希望医生能给这些雕塑治治,毕竟健康最重要嘛。



图源:Fab How


往期文章:











“利维坦”(微信号



liweitan2014



),神经基础研究、脑科学、哲学……乱七八糟的什么都有。反清新,反心灵鸡汤,反一般二逼文艺,反基础,反本质。



投稿邮箱:



wumiaotrends@163.com



合作联系:微信号 thegoatjoe



利维坦古旧书摊儿双十二最后一天



长按上图二维码进店



或点击左下角阅读原文淘书



主题推广




回复

使用道具 举报

您需要登录后才可以回帖 登录 | 立即注册

本版积分规则

切换至【手机版】|主站|Archiver|Amituforum 无量觉社区

JS of wanmeiff.com and vcpic.com Please keep this copyright information, respect of, thank you!JS of wanmeiff.com and vcpic.com Please keep this copyright information, respect of, thank you!

|网站地图

GMT+8, 2026-3-27 22:37 , Processed in 0.160564 second(s), 20 queries .

Powered by amitufo

© 一时

快速回复 返回顶部 返回列表